SEVERE GUM INFECTION

gum disease treatment in dubai

Dr. Thomas Dental Implant Clinic provides high-quality dental implants at an low cost, for patients with severe gum infections or gum disease in dubai.

Teeth are held strongly in the jaw by alveolar bone. Gum infection will lead to destruction of the bone holding the tooth. In most of the cases it happens very slowly and patients are not aware of it.

The symptoms

 

The symptoms are very vague. They could be manifested as below.

  1. Bleeding Gums
  2. Puffy and Swollen Gums
  3. Bad Breath
  4. Tendency to press or to use toothpick
  5. Mobility of the teeth
  6. Progressive spacing of the teeth

CAUSES

LOCAL

  1. Bad Oral Hygiene
  2. Smoking
  3. Mouth Breathing
  4. Improper Brushing Habits

SYSTEMIC

  1. Diabetics
  2. Long term Medications for treating Epilepsy.
  3. Educationally Sub normal people with reduced physical dexterity
  4. Tendency to press or to use toothpick
  5. Familial/Genetic

HOW ONE CAN DIAGNOSE GUM INFECTION?

Usually on a routine dental visit the dentist will identify the gum infection substantiated by X-ray investigation.

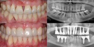
TREATMENT (REPLACE THE LOOSE TEETH WITH DENTAL IMPLANTS)

Normal periodontal treatments and elimination of the underlying cause can get the disease under control. There are conditions which are refractory or not responding to the routine treatment which will continue to an extent where the teeth are very loose and beyond saving the teeth. In such situations the treatment of choice is to replace the loose teeth with dental implants.

Doctor's Profile

Dr. Thomas
BDS., FFDRCSI.

(Fellow of Royal College of Surgeons, Ireland) FICOI, (Fellow of the International Congress of Oral Implantologists).

Specialist Dental Implant Surgeon.

Ask the Expert Have a Question?

Send an email or discuss your dental problem with Dr.Biju Thomas

DOWNLOAD PDF

Do you want to learn more about our services?

Download Dubai Dental Brochure

schedule your appointment

professional expertise

  • Our dental solutions are modeled on international healthcare standards
  • All patients are personally overseen and treated by Dr. Thomas himself
  • Associated with master dental technicians with 3-D precision bone scan facility
contact us

Schedule your evaluation right now!

Recover the will to smile with freedom and comfort