Dental Implants Treatments

all on 6 dental implants in dubai

At Dr. Thomas Dental Implant Clinic offers All on 6 dental implants in Dubai with expert care. The All-on-6 technique is used for full-arch teeth replacement, involving the placement of six dental implants in the upper or lower jaw to support a fixed prosthetic bridge. This method provides a strong and stable foundation for artificial teeth, ensuring improved function, durability, and aesthetics.

The smile is of paramount importance in how we present ourselves to others. Good-looking teeth can take years off your appearance and improve your confidence. That is why the results of restorative dentistry and dental implants in particular are often compared to cosmetic surgery.

"Your Smile Could Be Your Greatest Asset"

teeth whitening Dubai
The smile is of paramount importance in how we present ourselves to others. Good-looking teeth can take years off your appearance and improve your confidence. That is why the results of restorative dentistry and dental implants in particular are often compared to cosmetic surgery.

We live in a highly competitive, youth oriented culture. The effect of losing our teeth probably worries us even more today than previously.

Unfortunately, few of us are yet aware of the modern and permanent solution to tooth loss: DENTAL IMPLANTS. The concept of dental implants is a simple yet effective solution to the problem of lost teeth. Dental implants have been used for decades. By now many dentists and dental surgeons have gained an excellent understanding of the complexities of implant placement techniques.

Dentures and removable bridges may cause problems, for example they can be loose and unstable. Whether patients have lost all of their teeth or just a few, implants are an ideal solution providing a dental replacement that works and is aesthetically pleasing.

What are Dental Implants?

Who is a perfect candidate for dental implants?

The replacement of a lost tooth or teeth with dental implants that are place in the jawbone, using the very latest methods in bone restoration and regeneration.

Understanding Dental Implants

MISSING NATURAL TEETH? Dental implants are an effective, secure and permanent solution to the problem of missing teeth. Over decades dentists and manufactures have developed dental implants that successfully match the function, comfort and look of your natural teeth.

single tooth implant in Dubai UAE

Dental implants are suitable for most adults, regardless of how many teeth have been lost . the treatment can be carried out for a person who has lost one, a few or all of their teeth. A ceramic crown can be fixed by implanting into your gum the root of an artificial tooth – a dental implant that fuses to your jawbone.

The dental implant and crown become the permanent replacement for a missing tooth.

This is a permanent solution to tooth restoration which means that only a dentist can remove implants if necessary, but the patient cannot. The feel and appearance of dental implants is as though the patient had normal, natural teeth in their mouth. Unlike bridges they are not anchored to adjacent teeth and so do not carry any risk of affecting the structure of your existing teeth.

Once the teeth are missing the jawbone beings to shrink or is absorbed back into the body. An important benefit of dental implants can be the reduction or even elimination of bone shrinkage.

Why Choose Dental Implants?

dental implant clinic in dubai UAE
As our life span increases, the need for a reliable type of permanent dental replacement system becomes very important to our overall health. Dentures and removable bridges have certain problems, for example with time they can become loose and unstable.

Badly-fitted dentures can cause mouth ulcers and discomfort when you eat or can even lead to jawbone loss. Implants can provide people with dental replacements that are both functional and aesthetic. You can chew in comfort and smile with confidence. Also they require no special maintenance apart from your usual dental hygiene routine of brushing and flossing.

Implants Are Like Real Teeth

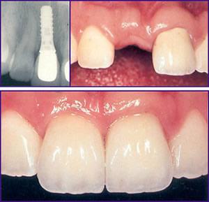
Your natural teeth are stable biting and chewing surfaces. They are supported by your jawbone. This will also be true of your dental implant. The crown is the tooth’s hard surface, which is visible above the gum line. The crowns of your natural teeth are held in place by roots. The roots is the supportive base of your teeth and is fixed in your jawbone. In comparison, implants act like the roots of your natural teeth. Successful dental implants become firmly embedded in the jaw. The prosthetic crowns are held in place by implants providing a chewing surface almost as secure as your natural teeth.

Anatomy Of Dental Implant

A dental implant is really a very simple metal screw which is designed to thread into the bone of the jaw and to allow for the attachment of a prosthetic crown at top. Implant are made of medical – grade titanium or titanium Alloy. Your dental surgeon will place them in a small hole in the bone which he prepares as part of the implant placement procedure. The bone will fuse to the implant over a shot period of time. Once this bonding process is successfully completed, which usually takes between three and six months , the implant is permanently in place.

Complete Teeth Replacement

Dental Implant Anatomy

Our dental surgeon can replace all teeth. To replace a complete set of teeth, the dental surgeon will usually place six or more implants in your upper or jaw. Dental implants provide enough stability to carry a full fixed bridge. The case featured on this page involved the removal of the in the upper jaw and replacing them with 8 implants to provide a base fore a full fixed bridge.

One Of A Few Missing Teeth?

We can use implant to restore a single tooth, few teeth or to replace small bridges and removable partial dentures.

Implants Are The Perfect Solution

Anyone in reasonable health who wants to replace missing teeth can be a candidate for dental implants. You must have enough bone in the area of the missing teeth to provide for the anchorage of the implants.

Some people are missing all their teeth and most of those are excellent candidates for dental implants. Implants are a prefect solution for the following problems:

  • You are embarrassed about missing teeth when smiling or laughing
  • Complete or partial dentures are causing you discomfort when you eat, chew and swallow
  • You avoid eating in public because your dentures fit badly and often slip.
  • You have a complete or partial denture and seldom use it.

There are really not too many things that can go wrong with dental implants. The complications can usually be easily corrected.

Dental Consultation in Dubai

dental implants in Dubai UAE
During your initial consultation your dental surgeon will examine you to determine if you are a good candidate for implants. A dental examination and tests will help the dental surgeon to determine how many implants you require and where the implants should be positioned in your jaw.

A treatment plan, with the overall cost and time frame for the procedure, will be presented to you at the time of your consultation. You will also be told about any dental work or special surgical procedures, like for example bone restoration or sinus lift.

The dental surgeon will also review your medical history. Imagination tests such as a panoramic X-ray or CT scan will be provided before your treatment begins to determine whether you have enough jaw bone to support a dental implant.

The DentaI Implant Procedure

The implant process is usually a two –phase procedure. During the first part of your treatment, the implants are placed in your jawbone.

The actual procedure of implant placement in your jawbone is done under local anaesthesia and is generally not really painful. When the anaesthesia wears off about three or four hour later, you might expect some discomfort. The level of discomfort can differ from patient to patient, but most patients do not have significant problems. Some patients do have varying degrees of pain or discomfort which may last for few days. Swelling and minor bruising may also develop.

Your jawbone will than gradually grow around the implants. You can help this process of integration by avoiding pressure on your jaw and keeping your gums and teeth exceptionally clean.

Occasionally dental implants are rejected. In many instances, they can be replaced with another implant, usually of a slightly larger size.

While the implants are bonding to your jawbone you will be wearing your temporary denture foe one or a number of missing teeth. You will then return to our dental clinic after your jawbone has firmly healed around the implants, usually three to six months after the initial placement. Your second visit will involve attaching crowns to the implants. Care is always taken to ensure that the new crowns match the colour and shape of your exiting teeth.

Additional Solutions

If your mouth is not ideal for dental implants at present our dental surgeon will use certain procedures for improving your situation.

The following procedures are in use:

  • Bone Graft sometimes before a dental implant is placed, it is necessary to build up the bone in the area to insure success. The procedure of building up the bone is known as bone grafting.
  • Tissue Regeneration Your oral surgeon can assist bone and soft tissue growth by placing artificial membrane along the bone edge. This membrane slows soft tissue growth, giving the new bone time to fuse with your jaw.
  • Sinus lift: A sinus lift is done when there is not enough bone in the upper jaw, or the sinuses are too close to jaw, for dental implant s to be placed. Those complications can occur once teeth are missing, the bone begins to shrink or is absorbed back into the body. If teeth have been missing for a long time, there is often not enough bone left to allow for dental implants.

Caring For Your Implants

With dental implants you can eat and smile with confidence again. If you keep your mouth healthy and take care of your implants by cleaning and flossing regularly, you will be able to enjoy your new teeth for many years.. You should also visit your dentist regularly to maintain oral health

Doctor's Profile

Dr. Thomas
BDS., FFDRCSI.

(Fellow of Royal College of Surgeons, Ireland) FICOI, (Fellow of the International Congress of Oral Implantologists).

Specialist Dental Implant Surgeon.

Ask the Expert Have a Question?

Send an email or discuss your dental problem with Dr.Biju Thomas

DOWNLOAD PDF

Do you want to learn more about our services?

Download Dubai Dental Brochure

schedule your appointment

professional expertise

  • Our dental solutions are modeled on international healthcare standards
  • All patients are personally overseen and treated by Dr. Thomas himself
  • Associated with master dental technicians with 3-D precision bone scan facility
contact us

Schedule your evaluation right now!

Recover the will to smile with freedom and comfort